Dental Fillings in Kokomo, IN

If you’re experiencing tooth decay, dental fillings in Kokomo, IN, from Caron & Jones Dental Care can help. Our dentists in Kokomo, IN, are experts in delivering and maintaining optimal oral health.
A bright, healthy smile boosts your confidence and plays a vital role in your overall well-being. Our experienced and compassionate team has a proven track record of diminishing decay and restoring functionality and beauty to our patients’ smiles. Let us help you next.
Tooth Decay
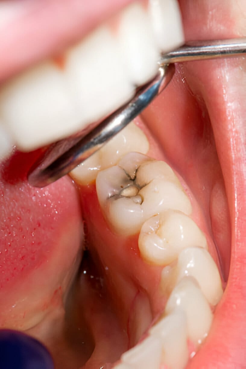
Tooth decay, also known as cavities, is a common dental issue that affects people of all ages. It occurs when plaque, a sticky film of bacteria, builds up on the teeth. This plaque feeds on sugars and starches in your diet, producing acids that erode tooth enamel, the hard outer layer of your teeth. Over time, this erosion can lead to cavities.
Left untreated, the consequences can range from pain, sensitivity, and chewing difficulties to infections and even the need for more complex procedures.
Signs and Symptoms of Tooth Decay
Early detection and treatment of tooth decay are not just crucial; they put you in control of your oral health. By being proactive, you can prevent further complications and maintain a healthy smile.
Watch out for these signs: toothaches triggered by hot, cold, or sweet foods, sensitivity to air, visible holes or stains on teeth, and pain when biting down.

Dental Fillings
A Reliable Dental Treatment
Dental fillings are a safe and effective way to restore teeth affected by tooth decay. The procedure involves removing the decayed portion of the tooth and filling the cavity with a biocompatible material. This material helps to prevent further decay and protects the underlying tooth structure.
At Caron & Jones Dental Care, we utilize advanced techniques and materials to create a comfortable and efficient filling experience. We offer composite fillings, which are tooth-colored and blend seamlessly with the surrounding tooth structure for a natural-looking result.
Dental Fillings Can Help You
Dental fillings offer many advantages for addressing tooth decay and to treat dental problems.
Pain Relief
Dental fillings remove the decayed portion of the tooth, eliminating the source of discomfort and allowing you to eat, drink, and smile pain-free. Our goal is to provide you with immediate relief and long-term oral health.
Preservation of the Tooth Structure
Fillings are not just a solution for tooth decay but a preventive measure. They act as a barrier, stopping further decay from spreading and safeguarding the remaining healthy tooth structure. This helps you avoid more extensive dental procedures in the future.
Improved Oral Health
Fillings play a vital role in maintaining good oral health by addressing tooth decay. This promotes the health of your gums to establish preventative dental care.
Restored Functionality
Fillings restore the tooth’s structure and function, allowing you to chew comfortably and efficiently. This improves your ability to enjoy your favorite foods and helps with proper digestion.
Enhanced Aesthetics
Modern composite fillings are tooth-colored, seamlessly blending with your natural smile. This restores functionality and boosts your confidence with a natural-looking smile.
The Caron & Jones Difference
The Caron & Jones Dental Care team is passionate about providing comprehensive dental services to patients in Kokomo, Indiana. Our friendly and experienced staff, led by Drs. Gabrielle Caron, D.D.S., and Katryn Jones, D.D.S., include dentists, hygienists, and dental assistants in a welcoming dental office. We’re dedicated to your comfort and oral health.
Of our dental services offered, dental fillings are just as important as any general, restorative, or cosmetic treatment.
We are committed to creating a positive dental experience for every patient.
Contact us today if you’re in need of a dental filling.
